Hucord’s Technology
휴코드는 2000년에 설립된 제대혈은행을 기반으로 제대혈 줄기세포 분야에서 선도적인 역할을 하고 있습니다.
세계 최초로 제대혈 줄기세포 발견, 인간을 대상으로 줄기세포 시술, 핵심 특허 보유, 2,000여 건 이상의 임상사례 등으로 그 기술력과 안전성을 입증했습니다.
휴코드가 세계 최초로 이뤄낸 성과
-
제대혈 속 줄기세포 존재 입증
-
제대혈 조혈모세포 정보 공개
-
제대혈 줄기세포를 이용한 다양한 분화기술
-
냉동 제대혈에서 중간엽 줄기세포 분리 및 배양
-
타인 유래 제대혈 줄기세포 치료
-
척수마비, 뇌졸중, 버거씨병 등 다양한 난치병 치료에서 성공적인 결과 발표
휴코드의 임상사례
버거씨병
Buerger’s Disease-
Before
-
줄기세포 치료 30일 후
-
줄기세포 치료 120일 후
- 하지 혈류 개선
- 치료 후 종아리 근육부위에 새로운 혈관이 형성되었고 혈류의 흐름이 호전되었습니다.
-
Before
-
줄기세포 치료 30일 후
-
줄기세포 치료 120일 후
- 족부 혈류 개선
- 치료 후 종아리 족부에 새로운 혈관이 형성되었고 혈류의 흐름이 호전되었습니다.
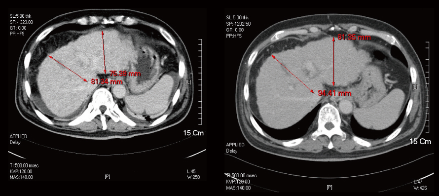
간경화
Liver Cirrhosis
간의 크기가 598.98ml에서 915.36ml로 회복되었습니다.
뇌졸중
Stroke-
발병시
-
줄기세포 치료 15일 후
-
줄기세포 치료 41일 후
끊어진 뇌혈관 주변으로 새로운 혈관이 형성 되었습니다.
척추하반신 마비
Paraplegia
MRI상 병변 부위가 점차 짙어지는 것이 보여집니다.
이는 병변 부위가 호전되는 것을 의미합니다.
골다공증
Osteoporosis-
Before
-
BMD 0.5601g/cm² BMD 0.5918g/cm²
After
-
Before
-
BMD 0.5217g/cm² BMD 0.5309g/cm²
After
골다공증의 경우 줄기세포 치료로 골밀도가 현저하게 증가 되었음을 볼 수 있습니다.